
Ώμος
Ο ώμος συμμετέχει σε όλες τις κινήσεις του χεριού και ως εκ τούτου εκτίθεται σε έντονες καταπονήσεις. Οι συχνές επαναλαμβανόμενες υπερφορτώσεις οδηγούν σε παθήσεις που οφείλονται στη φθορά, π.χ. βλάβη στο στροφικό πέταλο ή αρθρίτιδα της άρθρωσης του ώμου. Τα ατυχήματα και οι αθλητικές κακώσεις μπορούν να προκαλέσουν τραυματισμούς στους τένοντες και τους συνδέσμους. Η τυποποιημένη διάγνωση και θεραπεία του πόνου στον ώμο έχει σημειώσει σημαντική πρόοδο τα τελευταία χρόνια. Συμπτώματα που φαινομενικά μοιάζουν μεταξύ τους μπορεί στην πραγματικότητα να έχουν πολύ διαφορετικές αιτίες.
Δεδομένου ότι οι επαγγελματικές και αθλητικές απαιτήσεις των ασθενών αυξάνονται και οι ηλικιωμένοι γίνονται όλο και πιο δραστήριοι, πρέπει να αναγνωρίζονται και να αντιμετωπίζονται οι αιτίες και οι παράγοντες που προκαλούν τα προβλήματα στον ώμο. Η διάγνωση βασίζεται στο ιστορικό, σε κλινική εξέταση και σε περαιτέρω διαγνωστικές απεικονιστικές εξετάσεις. Ο στόχος της θεραπείας μας δεν είναι μόνο η εξάλειψη του πόνου, αλλά και η καλή λειτουργία του ώμου.
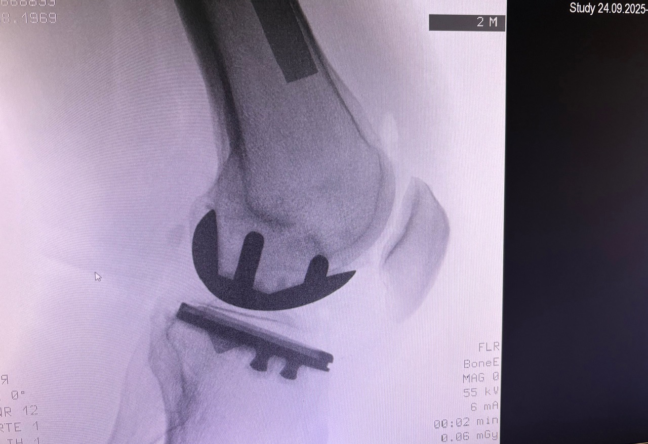
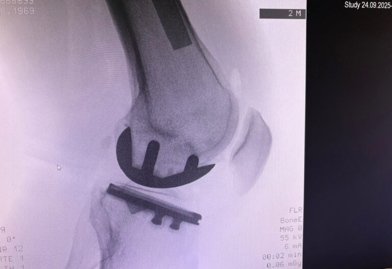
Η ημιολική αρθροπλαστική γόνατος (partial / unicompartmental knee replacement) είναι επέμβαση όπου αντικαθίσταται μόνο το φθαρμένο διαμέρισμα του γόνατος και όχι ολόκληρη η άρθρωση.
Πότε ενδείκνυται
- Οστεοαρθρίτιδα ενός μόνο διαμερίσματος:
- έσω (συχνότερα)
- έξω
- επιγονατιδομηριαίο
- Άθικτοι σύνδεσμοι (κυρίως πρόσθιος χιαστός)
- Καλή κινητικότητα γόνατος
- Σχετικά περιορισμένη παραμόρφωση
Πλεονεκτήματα
- Διατηρείται το υγιές οστό & οι σύνδεσμοι
- Πιο φυσική αίσθηση γόνατος
- Λιγότερος πόνος μετεγχειρητικά
- Ταχύτερη αποκατάσταση
- Ευκολότερη μετατροπή σε ολική αρθροπλαστική αν χρειαστεί στο μέλλον
Μειονεκτήματα / Περιορισμοί
- Δεν είναι κατάλληλη αν υπάρχει γενικευμένη αρθρίτιδα
- Απαιτεί αυστηρή επιλογή ασθενούς
- Μικρότερο περιθώριο λάθους στην τοποθέτηση
Πώς γίνεται
- Μικρότερη τομή από την ολική
- Αντικατάσταση μόνο του πάσχοντος διαμερίσματος
- Διάρκεια επέμβασης: ~1 ώρα
- Συχνά βάδιση από την ίδια ημέρα
Ανάρρωση
- Νοσηλεία: 1–2 ημέρες (μερικές φορές αυθημερόν)
- Επιστροφή σε καθημερινές δραστηριότητες: 2–4 εβδομάδες
- Πλήρης αποκατάσταση: ~2–3 μήνες
Ημιολική vs Ολική αρθροπλαστική
| Χαρακτηριστικό | Ημιολική | Ολική |
| Έκταση επέμβασης | Μικρή | Μεγάλη |
| Αίσθηση γόνατος | Πολύ φυσική | Καλή |
| Ανάρρωση | Ταχύτερη | Πιο αργή |
| Κατάλληλη για όλους | Όχι | Ναι |
| Διάρκεια εμφυτεύματος | Πολύ καλή (σε σωστές ενδείξεις) | Άριστη |
Σημαντικό
Η επιτυχία της ημιολικής αρθροπλαστικής εξαρτάται κυρίως από:
- σωστή διάγνωση
- εμπειρία χειρουργού
- ακριβή τοποθέτηση (συχνά με ρομποτική υποβοήθηση)
Σημαντική επισήμανση
Η τελική επιλογή της χειρουργικής τεχνικής γίνεται μετά από αναλυτική κλινική αξιολόγηση και προσεκτικό προεγχειρητικό σχεδιασμό, με στόχο το βέλτιστο και ασφαλέστερο αποτέλεσμα για τον ασθενή. Απαραίτητη προϋπόθεση για την επίτευξη εξαιρετικών αποτελεσμάτων αποτελεί η εξειδίκευση του χειρουργού στη συγκεκριμένη τεχνική, καθώς και η εκτεταμένη εμπειρία με μεγάλο αριθμό επεμβάσεων. Ο έμπειρος ορθοπαιδικός Νικόλαος Καλύβας εφαρμόζει την Ημιολική αρθροπλαστική γόνατος (Μονοδιαμερισματική) επί σειρά ετών στη Γερμανία, έχοντας χειρουργήσει μεγάλο αριθμό ασθενών. Τα τελευταία χρόνια, από τη θέση του Αναπληρωτή Διευθυντή σε ένα από τα μεγαλύτερα κέντρα αρθροπλαστικής της Γερμανίας, είχε ενεργό ρόλο στην εκπαίδευση ειδικευομένων ορθοπαιδικών στη συγκεκριμένη τεχνική.
Το περιεχόμενο της ιστοσελίδας είναι ενημερωτικό και δεν υποκαθιστά την ιατρική συμβουλή.
Eίμαστε εδώ για να σας βοηθήσουμε
Συμπληρώστε τη φόρμα και η ομάδα μας θα επικοινωνήσει μαζί σας το συντομότερο για να σας καθοδηγήσει, να απαντήσει στις απορίες σας ή να προγραμματίσει το ραντεβού σας.


