Wmos

Ώμος

Ο ώμος συμμετέχει σε όλες τις κινήσεις του χεριού και ως εκ τούτου εκτίθεται σε έντονες καταπονήσεις. Οι συχνές επαναλαμβανόμενες υπερφορτώσεις οδηγούν σε παθήσεις που οφείλονται στη φθορά, π.χ. βλάβη στο στροφικό πέταλο ή αρθρίτιδα της άρθρωσης του ώμου. Τα ατυχήματα και οι αθλητικές κακώσεις μπορούν να προκαλέσουν τραυματισμούς στους τένοντες και τους συνδέσμους. Η τυποποιημένη διάγνωση και θεραπεία του πόνου στον ώμο έχει σημειώσει σημαντική πρόοδο τα τελευταία χρόνια. Συμπτώματα που φαινομενικά μοιάζουν μεταξύ τους μπορεί στην πραγματικότητα να έχουν πολύ διαφορετικές αιτίες.

Δεδομένου ότι οι επαγγελματικές και αθλητικές απαιτήσεις των ασθενών αυξάνονται και οι ηλικιωμένοι γίνονται όλο και πιο δραστήριοι, πρέπει να αναγνωρίζονται και να αντιμετωπίζονται οι αιτίες και οι παράγοντες που προκαλούν τα προβλήματα στον ώμο. Η διάγνωση βασίζεται στο ιστορικό, σε κλινική εξέταση και σε περαιτέρω διαγνωστικές απεικονιστικές εξετάσεις. Ο στόχος της θεραπείας μας δεν είναι μόνο η εξάλειψη του πόνου, αλλά και η καλή λειτουργία του ώμου.

Η AMIS (Anterior Minimally Invasive Surgery) είναι μια σύγχρονη, ελάχιστα επεμβατική τεχνική ολικής αρθροπλαστικής ισχίου, η οποία πραγματοποιείται από την πρόσθια (μπροστινή) επιφάνεια του ισχίου, χωρίς διατομή μυών.

Τι είναι

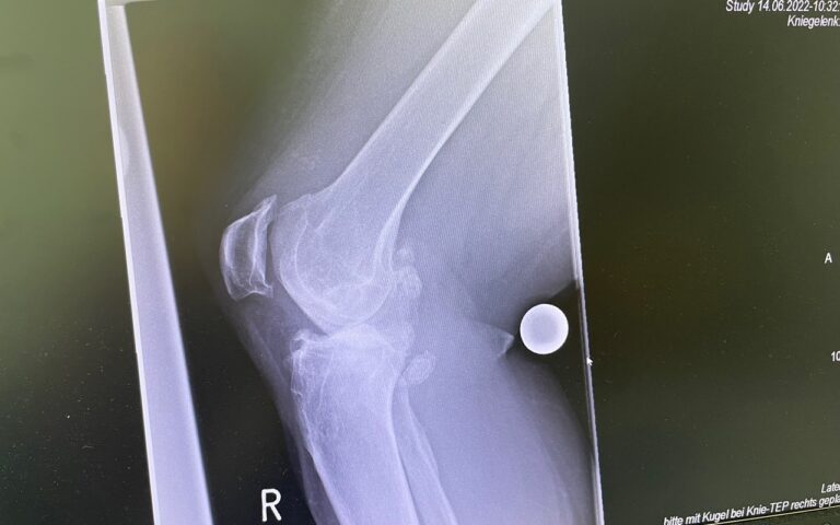
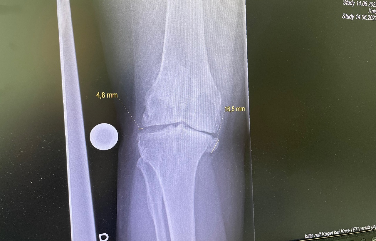
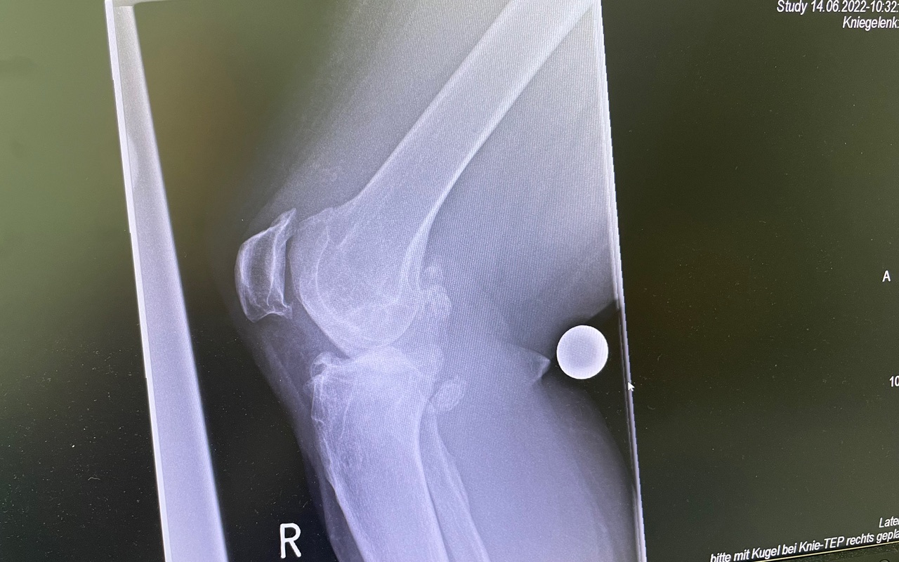
Η ολική αρθροπλαστική γόνατος είναι χειρουργική επέμβαση κατά την οποία αντικαθίσταται η φθαρμένη άρθρωση του γόνατος με τεχνητά εμφυτεύματα.
Στόχος είναι η ανακούφιση από τον πόνο, η βελτίωση της κίνησης και η αποκατάσταση της λειτουργικότητας του γόνατος.

Πότε ενδείκνυται

Η επέμβαση προτείνεται όταν ο πόνος και ο περιορισμός της κίνησης δεν αντιμετωπίζονται πλέον με συντηρητική αγωγή.
Συχνότερες ενδείξεις:

  • Οστεοαρθρίτιδα γόνατος
  • Ρευματοειδής αρθρίτιδα
  • Μετατραυματική αρθρίτιδα
  • Σοβαρές παραμορφώσεις του γόνατος
  • Χρόνιος πόνος που επηρεάζει την καθημερινότητα

Πώς γίνεται η επέμβαση

Κατά την ολική αρθροπλαστική:

  • αφαιρούνται οι φθαρμένες αρθρικές επιφάνειες
  • τοποθετούνται μεταλλικά εμφυτεύματα στο μηριαίο οστό και την κνήμη
  • παρεμβάλλεται ειδικό ένθετο πολυαιθυλενίου
  • σε επιλεγμένες περιπτώσεις αντικαθίσταται και η επιγονατίδα

Τεχνική & εξατομίκευση

Η επιλογή της τεχνικής και της πρόθεσης γίνεται εξατομικευμένα, λαμβάνοντας υπόψη:

  • την ηλικία
  • το επίπεδο δραστηριότητας
  • την ανατομία του γόνατος
  • τον βαθμό φθοράς
  • τα συνοδά προβλήματα υγείας

Στόχος είναι η σωστή ευθυγράμμιση, η σταθερότητα και το φυσικό εύρος κίνησης.

Oliki Arthroplastiki Gonatou 3 768x372

Νοσηλεία & αποκατάσταση

  • Διάρκεια επέμβασης: 1,5–2 ώρες
  • Νοσηλεία: 4-6 ημέρες
  • Κινητοποίηση από την 1η ημέρα
  • Άμεση έναρξη φυσικοθεραπείας
  • Επιστροφή σε καθημερινές δραστηριότητες: 6–8 εβδομάδες
  • Πλήρης αποκατάσταση: 3–6 μήνες

Η συστηματική φυσικοθεραπεία είναι καθοριστική για το τελικό αποτέλεσμα.

Πιθανοί κίνδυνοι

Όπως σε κάθε χειρουργική επέμβαση, σπάνια μπορεί να εμφανιστούν:

  • λοίμωξη
  • θρόμβωση
  • δυσκαμψία
  • φθορά της πρόθεσης

Η σωστή προετοιμασία και η τήρηση των οδηγιών μειώνουν σημαντικά τους κινδύνους.

Μακροχρόνια αποτελέσματα

• Σημαντική μείωση ή εξάλειψη του πόνου
• Βελτίωση βάδισης και σταθερότητας
• Διάρκεια ζωής πρόθεσης 15–20+ έτη
• Υψηλά ποσοστά ικανοποίησης ασθενών

Σημαντική επισήμανση

Η τελική επιλογή της χειρουργικής τεχνικής γίνεται μετά από αναλυτική κλινική αξιολόγηση και προσεκτικό προεγχειρητικό σχεδιασμό, με στόχο το βέλτιστο και ασφαλέστερο αποτέλεσμα για τον ασθενή. Απαραίτητη προϋπόθεση για την επίτευξη εξαιρετικών αποτελεσμάτων αποτελεί η εξειδίκευση του χειρουργού στη συγκεκριμένη τεχνική, καθώς και η εκτεταμένη εμπειρία με μεγάλο αριθμό επεμβάσεων. Ο έμπειρος ορθοπαιδικός χειρουργός κ. Νικόλαος Καλύβας εφαρμόζει την ολική αρθροπλαστική γόνατο επί σειρά ετών στη Γερμανία, έχοντας χειρουργήσει μεγάλο αριθμό ασθενών. Τα τελευταία χρόνια, από τη θέση του Αναπληρωτή Διευθυντή σε ένα από τα μεγαλύτερα κέντρα αρθροπλαστικής της Γερμανίας, είχε ενεργό ρόλο στην εκπαίδευση ειδικευομένων ορθοπαιδικών στη συγκεκριμένη τεχνική.

Το περιεχόμενο της ιστοσελίδας είναι ενημερωτικό και δεν υποκαθιστά την ιατρική συμβουλή.

Eίμαστε εδώ για να σας  βοηθήσουμε

Συμπληρώστε τη φόρμα και η ομάδα μας θα επικοινωνήσει μαζί σας το συντομότερο για να σας καθοδηγήσει, να απαντήσει στις απορίες σας ή να προγραμματίσει το ραντεβού σας.

Logos