Drkalivas 02

Μερική (Μονοκονδυλική) Αρθροπλαστική Γόνατος σε Ασθενή με Εντοπισμένη Οστεοαρθρίτιδα

Ασθενής: Άντρας, 66 ετών
Επέμβαση: Μερική Αρθροπλαστική Γόνατος σε Ασθενή με Εντοπισμένη Οστεοαρθρίτιδα
Χειρουργός: Dr. med Νικόλαος Καλύβας
Έτος: 2024

Ιστορικό

Ο 66χρονος ασθενής προσήλθε με πόνο και δυσκαμψία στο έσω διαμέρισμα του αριστερού γόνατος, ο οποίος επιδεινωνόταν κατά τη βάδιση και την ανάβαση σκαλοπατιών. Παρά τη φαρμακευτική αγωγή, τις ενδοαρθρικές  ενέσεις υαλουρονικού οξέος και τη φυσικοθεραπεία, τα συμπτώματα παρέμεναν και περιόριζαν σημαντικά τη λειτουργικότητά του.

Ο ακτινολογικός έλεγχος (ακτινογραφίες/μαγνητική τομογραφία) ανέδειξε προχωρημένη οστεοαρθρίτιδα του έσω κονδύλου, με πλήρη διατήρηση του έξω διαμερίσματος και της επιγονατιδομηριαίας άρθρωσης. Με βάση αυτά τα ευρήματα, ο ασθενής ήταν ιδανικός υποψήφιος για μερική (μονοκονδυλική) αρθροπλαστική γόνατος.

Ο προεγχειρητικός ψηφιακός σχεδιασμός

Πραγματοποιήθηκε απεικόνιση και ψηφιακός σχεδιασμός της επέμβασης, ώστε να προσδιοριστεί με ακρίβεια το μέγεθος και η θέση των προθέσεων. Ο στόχος ήταν να αποκατασταθεί η φυσιολογική μηχανική του γόνατος, διατηρώντας ανέπαφα τα υγιή τμήματα της άρθρωσης, τους συνδέσμους και τους γύρω μυς.

Η χειρουργική επέμβαση

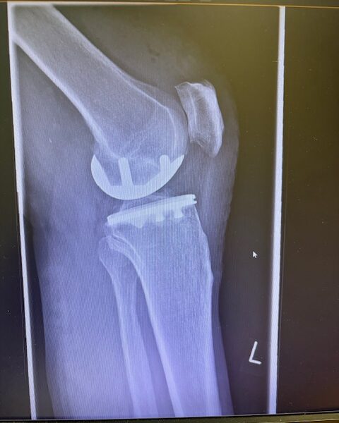
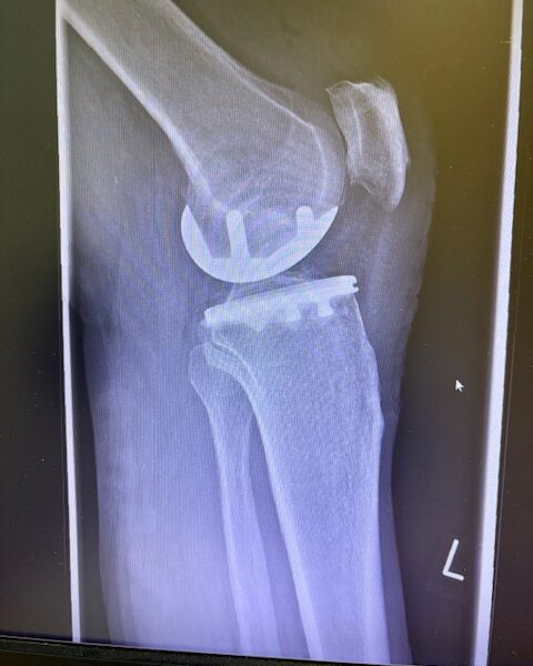
Η επέμβαση πραγματοποιήθηκε με ελάχιστα επεμβατική προσπέλαση και τοποθέτηση πρόθεσης μόνο στον έσω μηροκνημιαίο διαμέρισμα του γόνατος.
Η ακριβής προσαρμογή του εμφυτεύματος επιβεβαιώθηκε διεγχειρητικά, εξασφαλίζοντας σταθερότητα και φυσική κίνηση της άρθρωσης.

Στον ασθενή τα εμφυτεύματα που χρησιμοποιήθηκαν είναι της εταιρείας Zimmer-Biomet Persona Μηριαίο μέγεθος 6, κνημιαίο μέγεθος Η και ενθέμα (inlay) Η li. 8mm.

Η διάρκεια της επέμβασης ήταν μικρή, με ελάχιστη απώλεια αίματος και χωρίς επιπλοκές. Η ασθενής κινητοποιήθηκε λίγες ώρες μετά το χειρουργείο, με πλήρη φόρτιση του σκέλους.

Τα πλεονεκτήματα της μερικής αρθροπλαστικής

Η μερική αρθροπλαστική γόνατος προσφέρει:

  • Διατήρηση της φυσιολογικής κινηματικής του γόνατος
  • Ταχύτερη ανάρρωση και άμεση κινητοποίηση
  • Ελάχιστο τραυματισμό μαλακών ιστών και μυών
  • Μικρότερη χειρουργική τομή και απώλεια αίματος
  • Φυσική αίσθηση κατά τη βάδιση

Η μέθοδος αυτή ενδείκνυται σε ασθενείς με εντοπισμένη οστεοαρθρίτιδα ενός μόνο διαμερίσματος και εξασφαλίζει εξαιρετικά λειτουργικά αποτελέσματα με μακροχρόνια σταθερότητα.

Τα αποτελέσματα

O ασθενής κινητοποιήθηκε την ίδια ημέρα, χωρίς σημαντικό πόνο, και εξήλθε από το νοσοκομείο εντός 72 ωρών.
Στην επανεξέταση μετά από τρεις εβδομάδες, ανέφερε πλήρη εξάλειψη του πόνου, βελτιωμένη βάδιση και φυσιολογική κινητικότητα του γόνατος.

Η μερική αρθροπλαστική του επέτρεψε να επανέλθει γρήγορα στις καθημερινές του δραστηριότητες, με φυσική αίσθηση και σταθερότητα στην άρθρωση, ανακτώντας την ποιότητα ζωής που είχε χάσει λόγω του χρόνιου πόνου.

Comments are disabled